Veneers Victoria Where Natural-Looking Results Meet Trusted Local Care
- Same-day veneers and digital impressions with CEREC®
- Flexible financing available through CareCredit®
- Convenient scheduling with text message reminders
- Known for family-focused, judgment-free support
“Highly recommend”
“The staff is so friendly and makes you feel as if your part of their family. Like most people, i dont like going to the dentist, but they all do their best to make it as comfortable as they possibly can. Highly recommend Dr. Grant.”
— Angela M., 5-star review

Ready for a Smile By a Trusted Professional?
Request a Veneers Consultation Today
Dr. Grant Heller combines hometown care with advanced cosmetic expertise to deliver veneers that look and feel natural. Patients trust him not just for his skill, but for his steady commitment to education, technology, and personal attention.
- Born and raised in Victoria; DDS from UTHealth Houston
- Completes 3× the required annual continuing education hours
- Member of ADA, TDA, AGD, and Guadalupe Valley Dental Society
- Experienced in full-scope general, cosmetic, and emergency care
Reach out to the team at our Victoria dental office to get started.
Financing Available
/
Because veneers are purely cosmetic, treatment is not usually covered by traditional dental insurance. To help make treatment more affordable, our Victoria, TX, practice offers financing through CareCredit®. CareCredit is a reputable lender that allows qualifying patients to pay for dentistry through low-interest or no-interest payment plans.
What Are Dental Veneers?
Veneers are ultra-thin shells, usually made of dental-grade porcelain. Veneers conceal minor to moderate cosmetic imperfections like chips, stains, minor misalignment, and more. Dr. Heller attaches the veneers to the front surface of your teeth with a powerful bonding agent that can last up to a decade.
An Amazing Cosmetic Solution Why Patients Love Porcelain Veneers
Simple Procedure
Most patients only require two quick, uncomplicated appointments to receive porcelain veneers. Veneers involve minimal alteration of the natural tooth structure, and most patients need only local anesthesia for the procedure.
Easy Maintenance
Veneers can be cared for just like your natural teeth and are non-removable. With proper maintenance and regular dental checkups, your veneers can easily last for 10 years or longer.
Beautiful Results
The veneers we use at our office in Victoria, TX, are made of advanced porcelain that beautifully resembles natural enamel. Veneers can give you a bright, straight, attractive smile that you'll love to show off whenever possible.
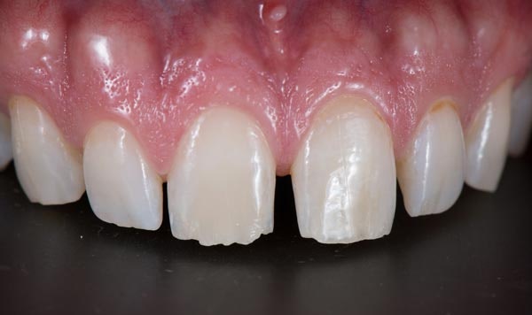
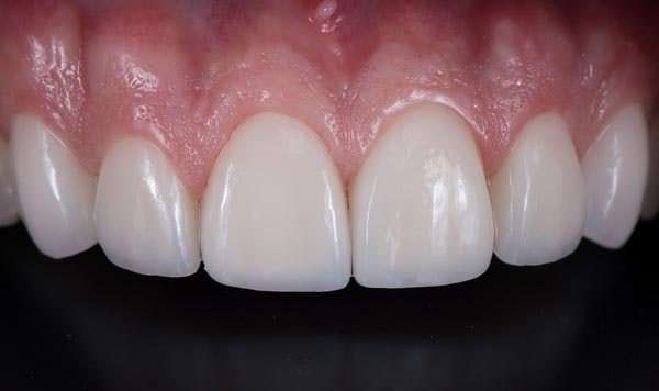
Check Out The Difference Veneers Can Make
Porcelain veneers can help you achieve everything from subtle corrections to dramatic transformations. Best of all, the results are so natural-looking no one will be able to tell the difference between your natural teeth and your veneers.


Want to Learn More About Treatment?
Request a Consultation

If you think porcelain veneers may be right for you, request a consultation with Dr. Grant Heller in Victoria, TX. Our patients recommend us to their friends and family because:
Our office features the most modern technology in dentistry.
Dr. Heller is a highly trained dentist who is routinely continuing his education.
We treat each patient like a member of our own family.
You can request a consultation with Dr. Heller by contacting us online or calling our office at (361) 575-0237.
Call Us: (361) 575-0237
“Kind, compassionate, and professional.” Patients Love Working With Our Victoria Team
"Dr. Heller and Staff are kind, compassionate, and professional. He and his team work with you to meet your Dental Healthcare needs. I Love my smile again thanks to Dr. Heller and Staff." — Lori W., 5-star review
Cosmetic Dentistry Consultations What You Should Expect
When you visit our Victoria practice to discuss cosmetic dentistry with Dr. Heller, you can expect to be greeted with a smile by our friendly team. When you sit down with our dentist, he will ask about your goals and take a look at your teeth and gums to determine your candidacy for different dental services.
If Dr. Heller discovers oral health issues like tooth decay or gum disease, he will treat those before you can qualify for veneers. If you are in good oral health, he will explain to you the pros and cons of veneers and help you decide if they are the right solution for you. If you choose to proceed with porcelain veneers, we will use our advancing imaging technology to create impressions of your teeth, and then we will schedule your veneers procedure.
How Dental Veneers Are Placed
Highly Recommended
"Beautiful Staffing caring and Understanding and very friendly and explain everything that needs to be explained, They love their patients without any doubt. GOD Bless Them and their families. I Love Them ALL."
Ramona, 5-Star Google Review

Undergo A Complete Smile Makeover
Incorporating Veneers and More
When considering all your treatment options, know that you don't have to settle for just one technique. If multiple dentistry treatments are needed to achieve your goals, Dr. Heller can provide a custom smile makeover. A smile makeover combines two or more treatments into one streamlined procedure tailored to your goals. Rather than undergo the procedures separately, a smile makeover can save you time and money. In the end, you can expect to achieve the smile you have always wanted. Find out what we can do for you by scheduling a consultation at our Victoria practice.
Get Started on Your Dream Smile
Porcelain veneers and smile makeovers can do wonders for your appearance and self-confidence. Dr. Heller uses sophisticated techniques and technology to make sure your results give you something to keep smiling about for years to come. Get started by requesting a one-on-one consultation at our Victoria practice. You can reach us by calling (361) 575-0237 or requesting a consultation online.
"Very kind and helpful."
I'm had a great experience here with Dr. Heller and staff. I felt comfortable. Great bedside manners. I recommend Grant Heller DDS. Thank you
View On GoogleDr. Heller is a fantastic dentist and helped me with all of my concerns. The staff were all very kind and helpful. Highly recommended!
View On Google





